医疗法人 浩然会 NT 医疗院长
筒井浩一郎
Dr.koichiro Tsutsui
癌症治疗有关微波疗法
一般癌症治疗过程
①通过外科手术判断是否可以通过一般手术治疗。适合手术治疗时需要注意对手术过程中对周边组织的渗透,局部淋巴、远处淋巴的转移等做好预防,术后也会附加放疗和化疗。不适合手术治疗:②放射线治疗。③化学治疗。
放疗・化疗的问题点
②放疗对人体的总照射剂量是有限的,放疗对部分病灶部位以及大面积转移也不适合。③近年来化疗治疗效果较为显著,但是抑制造血机能、神经性障碍、厌食症、脱发等副作用明显,另外癌细胞的抗药性增强,大量增加剂量使患者身体负担加重。其中不乏放弃化疗的患者。
对不适合治疗患者的缓解关怀
①手术②放疗③化疗针对上述均不适合治疗的患者而言缓解关怀是唯一出路。患者在无法接受3大疗法治疗时,针对疼痛、食欲不振等伴随症状只能对症缓解治疗。
第四治疗选择
癌症晚期患者常被称为癌症难民,可以说和癌症斗争是患者的唯一选择,但是用什么方法患者又无法选择。我们倡导的第四治疗选择(无副作用),是为数不多的治疗法。
作为癌症第四治疗选择温热疗法
针对癌症第四治疗法现在倡导提议很多。其中,实际效果明显的是温热疗法和免疫疗法。免疫疗法普遍治疗费用偏高,我院正在推广温热疗法。
有关温热疗法的历史
温热疗法是指针对癌细胞对高温死亡的弱点,选择性的对癌变组织实施温度上升破坏其组织达到治疗目的疗法。癌细胞不耐热习性早在希波克拉底时代就有记载,19世纪已有用发热装置治疗癌症的报道。近代的温热疗法研究始于1960年。
微波(MW)治疗法
MW疗法是指使用两台频率2.45GHz,输出300-700w,MW照射机器。不同于其他温热疗法的是使用不同频率实现短时间照射即可达到温热治疗效果。多数治疗仪需要50分钟的照射时间,该治疗仪仅用5分钟治疗时间。设备体积小,不需要较大安装空间。此外,患者着轻便装即可实施治疗。实现安装简易使用方便。
MW治疗原理
癌细胞耐热性弱●MW微波的加热原理原理与高频介质加热等同。微波照射是利用高频电介质的电场失能为基础,能量通过失能传导到物体内部。和高频介质加热同样原理由导数分子双极间的旋转和振动,发生摩擦碰撞产生能量。从而达到加热目的。






MW治疗原理-1
●癌细胞在41℃左右开始死亡,42.5℃以上细胞无法维持存活。●使用MW微波直接照射癌症病灶,使病灶温度上升起到杀死癌细胞作用。
MW治疗原理-2
●①使用MW对耐热性弱的癌细胞实施加热杀死。破坏病灶新生血管组织。
●②MW只对癌细胞DNA起到断裂从而破坏细胞形成。
●③MW能诱导癌细胞细胞凋亡。
●④MW能阻止癌细胞的生长信号传导途径。●通过MW的照射使癌细胞温度上升,导致癌细胞内的活性氧破坏癌细胞。
●通过MW的温热疗法可以促进淋巴球及NK细胞活性。
MW对癌细胞的治疗机理
---小结---
①通过温度杀死癌细胞②抑制癌细胞生长通过切断癌细胞DNA抑制生长③抑制癌细胞的堆积缩短癌细胞的寿命
选择照射部位以及治疗过程的判定
患者来我院就诊时需提供在医院诊断的CT、MRI图像、血检数据等。CT及MRI图像均为患者平卧时成像。站立或坐姿时随着器官的移动(如:肠、胃)癌症病灶会有产生位置移动。为了把握正确的照射位置,我院会对患者实施BDORT测试来确认照射部位。
有关BDORT测试
BDORT是旅居美国纽约的日本医生大村惠昭在1981年发表的论文提出的针对生物(身体)信息定位检测手法。该手法是利用共振反应原理对包括在站立和坐立下对癌症组织做出标记。所谓共振现象是指根据患者提供的病理诊断投影和癌症病灶形成共振,由患者的O-Ring强弱变化来确认照射部位做标记。


BDORT实例
基础实验
微波在体外in vitro、以及体内(in vivo)温度上升实验
为了确认微波的温度上升原理,通过体外和体内分别对微波照射的温度上升加以实验。(A)分别对装有生理盐水的6个容器进行照射9秒、7秒、5秒、3秒。各照射3次。结果显示5秒3次照射后有效温度达到42℃。
(B)对BALB/C(小白鼠实验)微波照射实验,5秒、4秒、3秒各照射3次后测量食道和肠道温度。结果显示4秒3次照射后有效温度达到42℃。实验结果证明无论in vivo体内、in vitro体外利用微波适度时间照射可以使内部达到有效温度。
MW温度上升实验-1
无化疗副作用,提升生活质量


MW温度上升实验-2


肿瘤细胞和正常细胞的存活率
下一页图表为对3种癌细胞(NCLS:H322,H1299,H460)照射比较。通过39~47℃温度照射显示癌细胞的存活率降低,与照射量(目标温度)成相关性。正常细胞(WI 38)在目标温度47℃时开始减少。43℃保持在较高存活率。
肿瘤细胞和正常细胞的存活率
将H322肺癌细胞移植到小白鼠体内后,随机分3组。 MW治疗期为移植后第12、13、14、19、20、21天。(MW照射合计6次) 第28天将小白鼠胸部癌组织全部摘除,统计肿瘤数量的肿瘤重量 接受MW照射的小白鼠肿瘤数和肿瘤重量明显比对照组减少。


MW波对癌细胞起到坏死作用的机理-1
随着癌细胞的生成,癌症病灶内的血流也逐渐增加,为了不断的为病灶提供氧气和营养,癌细胞会自身生成新血管为其吸收养分做准备。同时新血管的形成也为癌细胞转移做好了铺路。这些血管的会从患处编织出错综复杂的血液流经,但对温度持有弱性。微波照射利用温度可将新生血管组织破坏,切断向癌细胞提供氧气和营养的途径,从而抑制癌细胞生长致其坏死的作用机理。
肿瘤细胞和正常细胞的存活率


动物实验解剖结果
对照组的肿瘤偏大。 39℃组的肿瘤(癌细胞) 几乎看不到。 43℃组的肿瘤(癌细胞) 基本消失。


















































咽喉癌
上咽喉癌/颅内转移(2002.3⇒2010.11)
A・M(1953年生、男性)2002年3月22日,因上咽喉癌出现颈部淋巴转移,同组织摘除后实施放疗化疗。此时的存活率仅有30%以下。
1个月后的4月22日来我院就诊。胸部以上部位癌症活性反应明显。
左侧颈部凹陷,由于放疗副作用患者唾液分泌困难。MW微波治疗从2002年5月13日开始连续治疗4天。
之患者情况稳定。
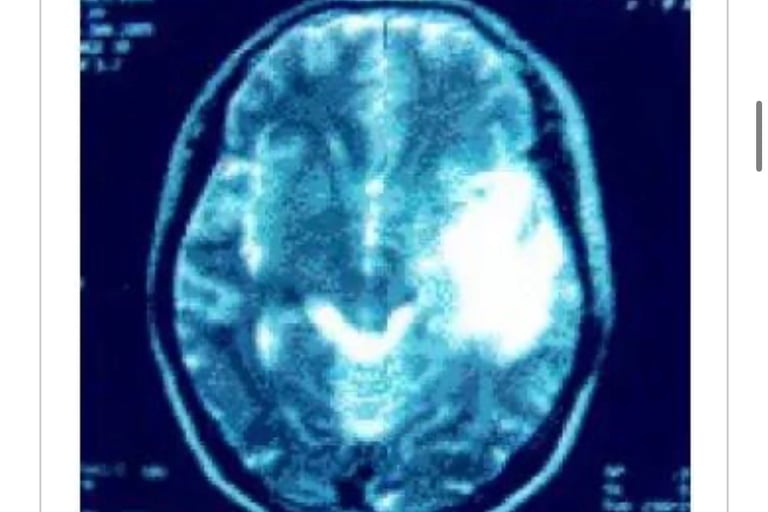
05年1月19日在脑外科被确诊左颞叶、顶叶、侧头均有转移(照片1)医生建议手术。
患者:「再也不想手术了。不管能治到什么程度都可以,能否用MW微波疗法继续治疗?」。
对此我对患者说「我不是脑外科专家,如果治疗效果不理想必须要手术时你能同意吗?」。
征得患者同意后。即于2005年1月20日开始,1天2次连续3天实施MW微波照射。之后11月、12月合计14次照射后,患者的癌症活性反应消失。
2006年1月27日的脑MRI显示肿瘤消除(照片2)。
患者A・M先生,住在北海道无法频繁来我院治疗,患者于2010年11月1日上咽喉癌复发死亡。患者从发病到死亡经过了8年,其中脑内转移消失保持接近5年。




舌癌(2005.11⇒2010.4)
T・K(1964年生、男性)舌左边缘发生糜烂经口腔科就诊,摘取组织活检已扩散,棉棒取糜烂面组织检测结果恶性。患者需要大面积切除后再放疗。2005年11月4日来我院就诊。根据患者舌癌组织标本共振反应结果从前额到胸部均显阳性。颌下淋巴未发生肿胀,舌左边缘呈溃疡状(照片1)用非酒精蜂胶涂抹数次并进行MW微波照射。至2006年1月17日合计照射20次后,溃疡面上皮再生(照片2)。为预防扩散至2007年11月14日追加照射20次。初诊医师复诊患者时十分惊异。之后虽有少量糜烂和不适感,至12月12日坚持照射5次后基本恢复。周边淋巴肿胀消失。癌细胞活性反应消失,溃疡面上皮再生外观良好(照片3)。2010年1月癌细胞活性反应再发,持续照射后活性反应消失。3月头颈部MRI图像显示无异常(照片4) 3月の頭頸部MRIでも異状はない(写真4)。治疗开始持续7年,现在观察中。




肺癌
病例数:378例早期211例(手术有无)治愈率:71%晚期167例(手术后)治愈率:25%小细胞癌较鳞状上皮细胞癌治愈时间长。晚期治愈率在25%(常规治愈率为13%)。除明显呼吸困难和体能衰弱患者外,治愈率接近50%。转移性肺癌治愈率在24%,体能维持患者占50%以上。
肺癌-1
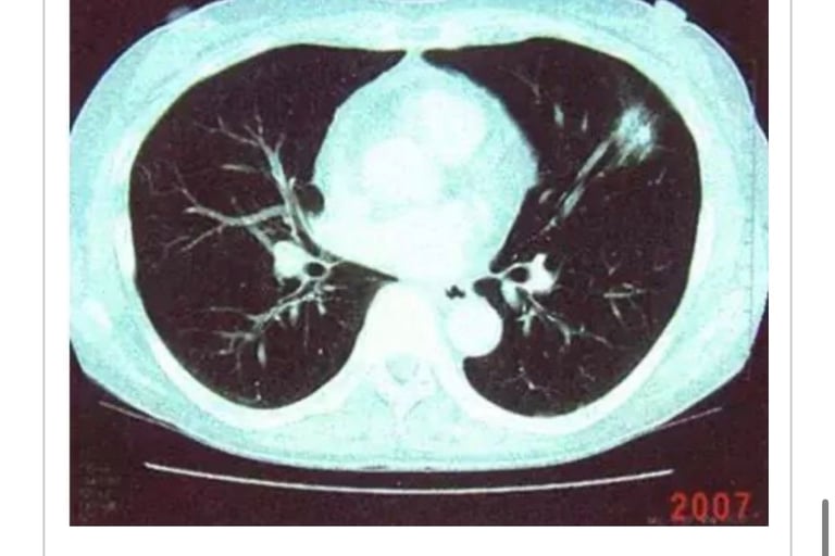
(2006.3⇒2012.12)(再发) S・S(1945年生、女性)
2005年4月6日、左肺癌(多发性器官癌=pT1pNOMOStage1A)左肺上叶切除。1年后再发。被称为「无良好治疗方法」(照片1)。
2006年3月24日到我院就诊。患者体征为轻度呼吸困难。就诊当日开始微波照射治疗,至9月中旬合计照射46次,较初期5月治疗时身体舒适可以做深呼吸。
2006年7月7日CT检查显示再发消失。
2009年8月至今,血液检查指标正常,无特殊症状。
2009年1月9日CT检查显示无异常变化(照片2)。同年12年12月来院复查。情况良好。













肺癌-4
(2005.6 ⇒2012.3)
F・T(1941年生、男性)2004年6月患者左肩疼痛、05年1月出现声带麻痹、颈部以及锁骨下淋巴肿大,通过PET发现纵隔肿瘤。2005年5月12日来我院就趁。
05年6月30日MW照射治疗开始。
05年7月19日开始NK・T细胞免疫疗法,2周一次3个月一疗程。
同时从7月17日至9月20日放疗。MW照射到05年12月为止合计37次。
2006年11月PET检查无异常。
从05年2月至06年4月,肿瘤标志物CEA从10.3ng/mℓ恢复到正常指标(表1)。
2008年3月26日确认再发后,连续接受放射治疗30次、化疗4个疗程。组织学检测结果为小细胞癌。
2008年9月24日NK・T细胞免疫疗法和MW照射治疗再开始。至2010年9月照射合计31次。
2012年3月CT成像结果无异常。



转移性肺肿瘤-1
(2005.4⇒2012.11)
(肿瘤标记)T・M(1936年生、男性)2005年2月、患者打嗝不止就医未发现异常。
来我院就医,诊断发现横膈膜左侧附近有肾癌共振反应,去大医院复检结果左肾上有11×10×9cm巨大肿瘤。
05年4月4日手术摘除。术后发现左肺2个和右上叶较小转移(照片1)。
2005年4月20日来院接受MW治疗,至6月20日合计照射16次。3个转移肿瘤2个消失。2005年5月11日追加NK・T细胞免疫疗法(每隔2周共计6次)。患者恢复状态较好。3个月复检一次。
2009年1月肺癌反应出现后MW照射消失。
1月27日胸部CT成像显示左肺下叶阴影较大(照片2),患者对干扰素副作用反应明显使用终止。
对左下叶的肿瘤标记建议摘除,由于患者并无癌症共振反应所以未进行手术。12年11月至今,患者除了肌酸酐值偏高外其他指标正常。














乳腺癌
病例数:298例针对乳腺癌治疗,不开刀直接可以用MW照射治疗,如果患者癌症活性较强、治疗期会较长。
病例80%是手术后治疗。
无论是局部摘除(保存乳房)患者,还是大面积胸肌摘除患者,MW微波照射对癌症活性消失均有效果。
治愈率早期在90%、晚期在63%。对较难治疗的硬质病灶,MW照射虽难痊愈可以起到一定缓和效果。
临床结果
(乳腺癌-1)2005.4⇒2008.8 O・C(1943年生、女性)
患者脑出血后遗症,右下半身麻痹。
2005年3月发现左乳房皮下肿瘤(照片1)、检查结果二期(肿块2cm以上、腋窝淋巴转移无/肿块2cm以下腋窝淋巴转移有)。患者未开刀未化疗,05年4月25日来我院就诊。
根据患者要求至9月15日合计照射32次,癌症活性消失。随后症状不稳定、至07年2月22日合计照射20次。
由于肿瘤距离皮肤表皮较近可以采取(保存乳房)局部切除后再实施MW治疗。或者直接接受MW治疗1~2年后再对患部坏死组织做患部恢复手术。患者由于右下半身麻痹不希望手术。经过MW微波照射癌症活性全部消失,果然8个月后坏死组织从皮肤内排出(照片2)、用紫杉醇、赫赛汀涂抹创面扁平化(照片3)治愈留有疤痕。)。
前期癌症活性全部消失。现为观察阶段。


乳腺癌-2
(2002.11⇒2010.3)(不开刀MW治疗)
A・M(1950年生、女性)左乳房外侧发现肿块。2002年11月1日组织检查显示癌症阳性。未手术。11月19日来我院就诊。
共振反应发现,除左乳房外两锁骨窝、两腋窝、肝脏均有阳性反应。从02年11月至03年1月合计照射12次。
服用锗防止巨细胞病毒感染。
从03年2月至03年10月合计照射5次。肿瘤缩小。患部出现凹陷(照片)。
治疗后,患者定期来院复查。
2010年3月至今患者无异常。


乳腺癌患者的远期治疗结果-1
从乳腺癌患者的远期效果来看,治疗期内接受MW照射治疗患者生存率超过60%。
就诊我院的患者多数为3期、4期StageⅢ、StageⅣ患者,生存率较高,并且2年以上生存患者经过6年后未再发,正常生活。
在此强调说明:癌症活性消灭疗法,比较传统医学治疗有着较高的生存率,并且治疗过程中无副作用以及无后遗症,治愈后可以正常生活。
MW微波治疗照射次数,患者平均1人35.6次、最少4次回、最多176次。
整体分析中,使用Dr.SPSS II(2005年版)、存活曲线Kaplan-Meier方法、使用对数Log-Rank法显著差异分析。并对连续数据进行两组比较,独立两组Student-test测试之间。两组分类数据间用比较分别χ方检验。


乳腺癌患者的远期结果-2
经过MW照射治疗的4期StageⅣ乳腺癌患者1年生存率为70.1%、2年生存率为50.1%。2年以上生存患者5年后均无异常。现代医学对乳腺癌4期StageⅣ的生存率调查结论有很多。以下图表为美国对乳腺癌4期StageⅣ的生存率数据比较显示,我院的MW照射治疗生存率较高。
无论是MW治疗组还是非MW治疗组,经我院就诊后继续结合现代医学治疗的患者仅有2〜11%。特别是4期StageIV被称为「没有有效治疗」的癌症难民。几乎没有机会接受现代医学和MW微波照射治疗机会。因此,接近半数(47.1%)的患者能够单独利用MW微波照射治疗(加以机能性营养辅助剂)进行癌症治疗本身就是一大特点。
*比较1999~2003年、有关美国远期调查结果。(Dawood S. et al: newly diagnosed stage Ⅳ breast cancer. J Clin Oncol 26:4891~8, 2008)


胃癌
病例数:265例早期胃癌局部切除后,结合MW照射治疗80%治疗后没有复发。对再发率较高的硬变胃癌,经过胃部全摘除手术后MW照射治疗癌症活性消失7年以上良好病例,以及部分切除后MW照射治疗的癌症活性消失病例。但是对非硬变胃癌的治疗时间会延长。针对粘膜组织癌症内镜手术切除粘膜后再发问题,使用MW照射术后粘膜再发率可控制在5%以下。
胃癌・淋巴转移(2011.7⇒)
W・J(1951年生、男性)2010年4月14日患胃癌为全切除、非硬变癌症。周边淋巴组织主动脉壁发现肿胀物。化疗(静脉、口服)30次。被判定余命2-6个月。2011年8月停止化疗。2011年7月1日来我院就诊、至12月末合计照射22次。从10月开始身体好转。12月上旬CT成像显示3个淋巴肿涨中2个消失、12月下旬检测全部消失。之后没有不良反应。
淋巴结转移消失
病例数:3例上颌窦癌没有自觉症状,3例均为晚期癌症均受到了良好效果。通过手术和放疗会对鼻腔形状和唾液腺分泌留有部分后遗症。MW治疗不会有任何的副作用。




胆管癌
病例数:29例大多数发现后都有肝脏转移。手术能够摘取完整的话治愈效果会良好。因为胆管狭窄难于手术患者只能做支架内扩,延迟生命。
胆管癌
(2006.7⇒2010.2)
M・S(1929年生、男性)
2004年检查发现胆管癌、05年8月计划手术、胆管内肿瘤扩大迅速至2~3cm、中止手术。口服抗癌剂TSI2年,并加以远红外线温热治疗以及体外热疗法。
06年7月28日来我院就诊,面色青紫色看似药物中毒(照片1)。共振反应显示全身成阳性。没有并发反应。建议服用田七、冬虫夏草、维生素C,糙米发酵食品。远红外线温热治疗外加MW微波照射治疗开始。07年12月18日CT成像肝癌,08年3月4日CT成像显示3个肿瘤愈合,12月9日CT成像正常。MW照射自07年8月至08年1月合计30次。1月的检查发现肿瘤基本消失。08年2月至5月合计照射13次后,共振反应癌症活性消失。随着身体好转体重增加、脸色恢复正常(照片2)。
肝功能正常,肿瘤标记物CA19-9值从08年9月的155U/mℓ降至81U/mℓ 。09年3月上升到144U/mℓ,5月恢复到52.5U/mℓ。从08年5月8日开始2周NK细胞和T细胞免疫治疗。2010年2月CT、血项检查正常。身体转好。后因身体衰弱未在来院。
该病例较为特殊,同样症状的患者治疗效果不同。如果能通过更多的各种病例治疗研究,相信未来的治愈效果会更好。


肝癌
病例数:50例早期32例:治愈率65%
晚期19例:治愈率32%
能够坚持使用MW治疗,治愈效果会大大增加。病灶较小、身体状况良好患者治愈率可达80%以上。经共振反应检查早期发现人群治愈率能够达到95%。
此外,肝癌的治疗效果根据肿瘤大小以及患者身体差异较大,肿瘤过大需要先手术。
肝癌-1
(2002.6⇒2010.7) R・J(1945年生、男性、蒙古人)
慢性丙肝乙肝以及肝癌并发。在日本滞留仅4天。对患者情报仅为2002年6月19日的CT成像。成像显示肝脏内有大块肿瘤(照片1,2)。02年7月1日连续4天,短时间集中进行MW照射治疗。服用蜂胶、冬虫夏草、维生素C、锗。回蒙古后CT检查发现肿瘤碎成小块、乙肝丙肝病毒消失。从患者寄来的CT成像显示确实如此。(照片3・4)。针对肝炎病毒消失的血清学角度来说我都不敢相信。原因分析肝炎病毒减少短短4天的MW微波照射的功效不能否定,作为患者本身体质(蒙古族)也是有一定原因的。此外,在后来的治疗中也有接受微量MW照射后肝炎病毒减少的病例,MW微波对肝癌治疗效果显示根据个体差异较大。




肝癌-2
(2006.6⇒2012.3)(右侧乳腺癌肝转移) I・S(1941年生、女性)
1996年患有多发性肌炎,2004年7月15日、发现右侧乳腺癌,经化疗治疗05年10月肿瘤标志物上升肝脏发现转移。
06年2月28日经PET-CT成像诊断,肝脏内的 FDG(氟脱氧葡萄糖)积累较高,判断为肝脏转移,(照片1)。同时发现第7颈椎的结节状组织积累,怀疑为早期骨转移。右腋窝淋巴、前纵隔淋巴、大动脉附近淋巴、大动脉下淋巴均有积累。
06年3月21日开始化疗,肿瘤标记物值一直不下降。CT成像显示心脏附近淋巴腺和颈椎有转移。患者来我院就诊前接受淋巴免疫治疗。结果显示效果不明显。
06年6月2日初诊后。希望接受MW照射治疗。外加远红外线温热治疗仪。MW照射6月8次。期间6月23日肿瘤标志物指标开始下降。从7月至12月合计照射42次。期间的肝脏CT成像正常。
07年1月3日PET-CT成像没有再发。
08年1月28日的PET成像显示癌症消失(照片2)。
之后MW照射1月、2月、3月、5月、7月各进行1次。5月开始恢复口服抗癌剂肿瘤标志物指标如图。
该患者在我院治疗结果没有和大学医院汇报。12年3月至今尚未发现异常。




胰腺癌
病例数:43例
早期30例:治愈率83%
晚期13例:治愈率15%
胰腺癌是非常难治的癌症,MW照射效果较好。胰腺癌伴有腹痛或背部疼痛,晚期患者经过MW照射治疗后疼痛明显缓解。疼痛缓解不明显的患者大都是癌病灶部位被肉毒杆菌及病原性大肠杆菌感染。治愈效果不理想。
胰腺癌-1
(2001.8⇒2012.3)
M・K(1961年生、女性)
2000年秋季、患者因子宫绒毛膜癌子宫摘除。
2001年8月20日、发现胰腺癌来我院就诊。8月30日的MRI成像发现胰腺尾部肿瘤。
从8月20日至9月10日接受MW照射合计12回次。回家后结合使用远红外线温热仪器。02年4月18日的CT成像显示胰腺尾部肿瘤消失。
12年3月至今无异常症状。


胰腺癌-2
(2005.5⇒2012.2)
K・S(1939年生、男性)
2004年10月、诊断为胃癌。05年2月7日胃切除、脾脏附近淋巴切除。病理分析结果为中分化腺癌,有高度淋巴管浸润和轻度静脉浸润。05年5月19日来我院就诊,因为口服抗癌剂TS1致使肝功能恶化,服药停止。
共振反应显示肺部至肚脐但范围伴随胰腺癌反应。至9月12日合计MW照射29次。06年9月29日的CT检查结果为早期胰腺癌(照片1)。肝脏、胰腺、大肠均有汞反应,服用活性炭。未发现病原性大肠杆菌和肉毒杆菌感染。远红外线温热仪器治疗和MW照射结合,至06年10月23日MW照射
合计33次。癌症活性反应消失。11月15日CT检测胰腺癌阴影消失(照片2)。前期治疗医师承认针对患者有误诊。至12年2月。近7年患者恢复正常生活。


大肠癌
病例数:314例
早期138例:治愈率81%
晚期176例:治愈率56%
MW照射治疗肠道内残留肿瘤,病灶凝固坏死后常会出现肠梗阻需要手术摘除。术前进过MW照射后病灶会缩小,易手术。不摘除淋巴结能防止下肢浮肿。即使有淋巴结转移治愈率也会在65%左右。肝脏及肺部转移患者的治愈率在40%。
直肠癌
(2012.7⇒) O・K(1950年生、女性)
2012年4月排便发现少量出血。便状偏细。就医检查后发现子宫颈癌和直肠癌。
5月31日肠镜检查发现距离子宫癌较近的S形结肠部位有癌症转移。直肠内壁呈现肿瘤压迫狭窄。
6月19日在都立駒込医院对子宫颈癌、膀胱、右尿管、膀胱开口处放疗治疗后,S状结肠处肿瘤较大,如手术患者需还人造肛门。
7月3日来我院就诊,患者健康状况较好。开始MW照射治疗,并结合毒素兴奋效应石盘浴。至9月2日MW照射合计7次后。肠镜检查发现直肠肿瘤缩小。便状变粗。
2012年10月发现癌症活性反应,持续MW照射治疗。患者全身症状良好。直肠狭窄恢复显著较为罕见。患者的乐观精神起到帮助外。放射线治疗和MW照射治疗的良好结合也是原因之一。












肉瘤
病例数:14例
MW微波照射治疗肉瘤需术后。子宫肉瘤患者肺部转移有6例,肺部转移后过大难以治愈。腕部肉瘤术后(1例)效果良好。
恶性淋巴瘤
(2011.10⇒2012)T・M(1951年生、男性)
患者为内科医生2011年10月21日就诊血液专科。患者症状:体重减轻、轻微呼吸困难、颈部淋巴结肿大。血液检查结果:白血球:28,900/µℓ、红血球:326 ×104/µℓ、淋巴球比例:0%、ALP值:620 U/ℓ、此外病原性细胞增多。
血象:红血球尺寸不整、白血球核膜异常,淋巴系统有异常。怀疑为急性淋巴性白血病。4天后精密检查后判断是否需要化疗。患者不希望化疗,当日来我院就诊。
患者妻子患有丙肝在我院治疗两个月(每隔2周)病毒减轻。初诊开始MW照射治疗4天。血象指标有改善。(未接受其他治疗)。
患者未向血液专科医生汇报。照射4天后的检查结果未发现白血病细胞,最终确诊为滤泡性淋巴瘤。淋巴结有多处肿胀,MW照射后变小。12月14日血液检查结果正常。共振检测癌症反应甚微。颈部淋巴结尚有肿胀,其他淋巴结均缩小。MW全身照射5分钟。未发现副作用。状况良好(图表1,2,3)。




病毒性肝炎
丙肝、乙肝病毒都MW微波有较高反应。这些病毒对患者肝脏、胰腺、大肠的贡以及肝脏内的铁指标偏高起到影响。进而使肝硬化和肝癌的发病率增加。经过MW微波照射能使病毒活性逐渐降低。随着活性降低,虽然血清学指标个体不同有差异,均可降低肝硬化和肝癌的患病风险。照射时间:丙肝一周两次、平均16~20次。乙肝一周2次、平均25~30次。活性明显消失。
病毒性肝炎-1 N.K
N.K(1958年生、男性)
患者为医疗工作者、接受过注射治疗。伴有倦怠感。丙肝发现5年。肝功能低下。2000年12月28日来院就诊。GOT值100IU/ℓ、 GPT值200IU/ℓ。服用中药,蜂胶,维生素C。01年6月15日、MW微波对肝脏一次照射3秒。
3月22日检查GOT值150IU/ℓ、GPT值300IU/ℓ上升。给了改善肝功能推荐姜黄,田七人参服用。
4月20日HCV的RNA检测值降至0.5KIU/㎖以下,倦怠感尚未消除。
03年春季,血小板20万没变化,肝部的压迫感和微痛消失。
04年10月出现HCV的共振反应,MW微波照射10月照射2次。
06年2月16日,肝脏、胰腺、大肠出现汞、含铁反应服用活性炭。
07年末汞反应消失。铁指标恢复正常。肝功和HCV的RNA检测值下降稳定。
10年1月至今。无其他异常。(图1)。


病毒性肝炎-2 K
K・M(1947年生、男性)
1957年、因交通事故输血。75年发现丙肝。2002年10月7日来我院就诊。HCV值为130KIU/㎖, GOT值600IU/ℓ偏高。
推荐健康辅助食品冬虫夏草。MW微波全身照射3天连续4次。肝脏压迫感消失。
05年5月11日共振反应出现,从5月12日至6月10日MW全身照射合计6次。
06年6月5日肝脏、胰腺、大肠出现汞、含铁反应服用活性炭。服药后末汞反应消失。铁指标恢复正常。患者恢复正常。
图2显示肝功能和HCV定量值变化。共振反应检查HCV为出现活性化。患者每半年复查一次。无其他异常


病毒性肝炎
S・M(1945年生、女性)
2010年7月右侧乳腺癌。9月9日乳房、右侧腋窝淋巴腺全摘除手术。
10月1日开始放疗化疗25次。手术前血液检查发现病毒性乙肝。
2011年7月27日来我院就诊。共振反应检查发现,上半身乳腺癌、全身乙肝病毒反应。就诊后开始MW微波照射治疗。至2011年11月8日合计照射26次后。HBV反应消失。至12月8日合计31次照射后,乳腺癌活性消失。经过核酸扩增法(TMA)测试后Hbe抗原从96.86LGE/ml降至4.8LGE/ml。
2012年12月再复查时共鸣反应无异常。肝功能指标再正常范围。
2011年以后未作TMA测试。






日本NT浩然會
世界尖端再生医療
還你青春十年
请联系我们 海外代表

